咨询电话

15221734409

当前位置:首页   >  实验服务  >  病理研究实验

  • 病理实验检测

    乐鱼网页版登录入口生物病理实验室拥有全套的病理制片、诊断分析设备。技术人员拥有丰富的病理技术操作经验,根据不同组织样本的要求进行制片,并进行多种组织化学染色、免疫组化、电镜、激光共聚焦实验等,为样本进行深度分析提供技术支持。

    更新时间:2024-10-26
    浏览量:8901
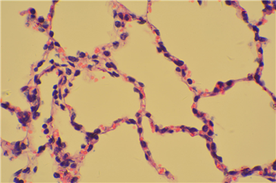
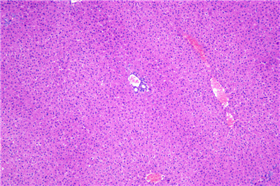
  • HE染色

    常规染色或HE(Haematoxylin and eosin)染色。它是病理技术中常用的一种方法,通过它可以做出病理诊断和发现寻求别的辅助方法,以达到准确,完整的病理诊断。苏木精染液为碱性 ,主要使细胞核内的染色质与胞质内的核糖体着紫蓝色 ;伊红为酸性染料 ,主要使细胞质和细胞外基质中的成分着红色 。HE染色法是组织学、胚胎学、病理学教学与科研中基本、使用广泛的技术方法。

    更新时间:2024-10-26
    浏览量:37580
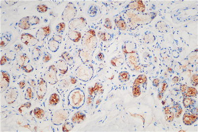
  • 免疫组化

    免疫组化是应用免疫学基本原理——抗原抗体反应,即抗原与抗体特异性结合的原理,通过化学反应使标记抗体的显色剂(荧光素、酶、金属离子、同位素) 显色来确定组织细胞内抗原(多肽和蛋白质),对其进行定位、定性及定量的研究,称为免疫组织化学技术(immunohistochemistry)或免疫细胞化学技术(immunocytochemistry)。

    更新时间:2024-10-26
    浏览量:31097
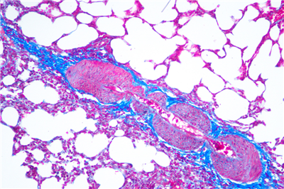
  • Masson染色

    Masson染色用于胶原纤维和肌纤维的染色及鉴定;染色结果:胶原纤维呈蓝色、肌纤维呈红色、细胞核呈蓝黑色。

    更新时间:2024-10-26
    浏览量:7729
  • 原位杂交

    原位杂交是指将特定标记的已知顺序核酸为探针与细胞或组织切片中核酸进行杂交,从而对特定核酸顺序进行精确定量定位的过程。原位杂交可以在细胞标本或组织标本上进行。

    更新时间:2024-10-26
    浏览量:5193
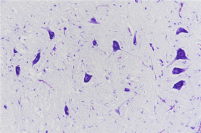
  • 尼氏染色

    尼氏染色:即Nissl染色法,用来鉴定神经元胞体中的尼氏体,是最常用的神经细胞染色,在该染色中,尼氏小体清晰可见,可区分轴突和树突等。

    更新时间:2024-10-26
    浏览量:5718
  • 冰冻切片

    冰冻切片是一种在低温条件下使组织快速冷却到一定硬度,然后进行切片的方法。其制作过程较石蜡切片快捷、简便,多应用于手术中的快速病理诊断。取下的新鲜组织应立即放入超低温冰箱或者液氮中,用干冰运输;

    更新时间:2024-10-26
    浏览量:5880
  • 石蜡切片

    石蜡切片组织学常规制片技术中最为广泛应用的方法。石蜡切片不仅用于观察正常细胞组织的形态结构,也是病理学和法医学等学科用以研究、观察及判断细胞组织的形态变化的主要方法,而且也已相当广泛地用于其他许多学科领域的研究中。

    更新时间:2024-10-26
    浏览量:6748
  • 激光共聚焦

    激光扫描共聚焦显微镜(Laser scanning confocal microscope)是激光、电子摄像和计算机图像处理等现代高科技手段渗透,并与传统的光学显微镜结合产生的先进的细胞分子生物学分析仪器,在生物及医学等领域的应用越来越广泛,已经成为生物医学实验研究的必备工具。

    更新时间:2024-10-26
    浏览量:5422
18 个  每页 9 个  首页  上一页 12 下一页 尾页 第 1 页
扫码关注

邮箱:https://www.80808888.com

地址:上海市宝山区长江南路180号长江软件园B650

版权所有© 乐鱼网页版登录入口-乐鱼(中国) All Rights Reserved    备案号:沪ICP备2021016661号-1     sitemap.xml    管理登陆    技术支持:化工仪器网    

沪公网安备 31011302006672号