欢迎来到乐鱼网页版登录入口网站!


相关文章
Related Articles详细介绍
1、常规形态学染色
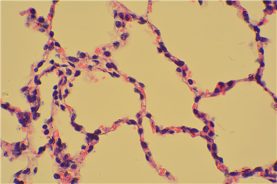
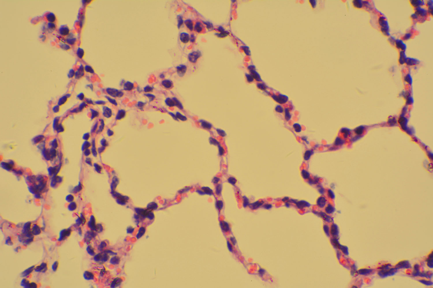
HE染色
苏木精 — 伊红染色法 ( hematoxylin-eosin staining ) ,简称HE染色法 ,石蜡切片技术里常用的染色法之一 。苏木精染液为碱性 ,主要使细胞核内的染色质与胞质内的核酸着紫蓝色 ;伊红为酸性染料 ,主要使细胞质和细胞外基质中的成分着红色 。HE染色法是组织学、胚胎学、病理学教学与科研中基本、使用广泛的技术方法。
免疫组化/荧光染色
免疫组化/荧光染色,是应用免疫学基本原理——抗原抗体反应,即抗原与抗体特异性结合的原理,通过化学反应使标记抗体的显色剂(荧光素、酶、金属离子、同位素)显色来确定组织细胞内抗原(多肽和蛋白质),对其进行定位、定性及相对定量的研究
2、其它特殊染色:
Masson染色、PAS染色、油红O染色、酸性/碱性磷酸酶染色、番红-固绿染色、甲苯胺蓝染色、普鲁士蓝染色、尼氏染色
3、电镜实验
扫描电镜
扫描电镜为物体表面结构成像,具有分辨率较高,可方便快捷地进行高真空模式与低真空、热模式之间的转换,放大倍数范围宽,从5×到300000×,而且样品室空间和观察视野大,对样品观察以从宏观到纳米尺度,装置所搭载的能谱分析仪EDS将所测信号通过计算机系统进行数字化,可以在短时间内对样品进行元素分布分析。
透射电镜
透射电镜H-7650是一台高分辨率成像仪器,使用双狭缝物镜,可以得到低倍大视野,高对比度成像的特点,配有高灵敏度CCD相机,具有低剂量电子束成像的功能;具有更多的自动化功能,如自动聚焦,自动消像散,自动拍照等;具有图像数据功能,测长,图像过滤功能,具有较强的拓展功能。
4、激光共聚焦实验
激光扫描共聚焦显微镜用激光作为光源,采用共轭聚焦原理和装置,并利用计算机对所观察的对象进行数字图像处理观察、分析和输出。其特点是可以对样品进行断层扫描和成像,进行无损伤观察和分析细胞的三维空间结构。同时,利用免疫荧光标记和离子荧光标记探针,该技术不仅可观察固定的细胞、组织切片,还可以对活细胞的结构、分子、离子及生命活动进行实时动态观察和检测,在亚细胞水平上观察诸如 Ca2+,pH 值,膜电位等生理信号及细胞形态的变化,成为形态学、分子细胞生物学、神经科学、药理学、遗传学等领域中新一代强有力的研究工具,极大地丰富了科研人员对细胞生命现象的认识。
产品咨询