欢迎来到乐鱼网页版登录入口网站!



相关文章
Related Articles详细介绍
一、服务介绍
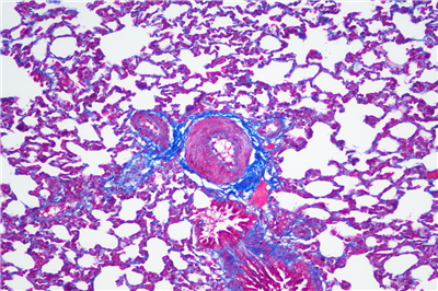
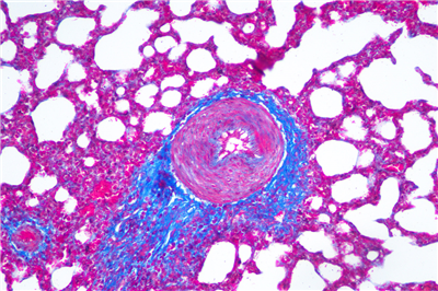
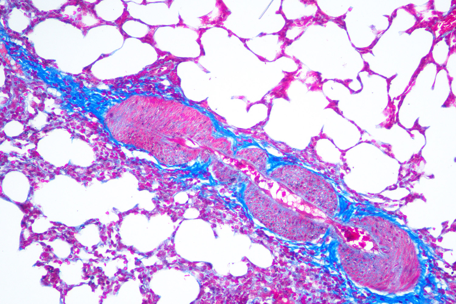
Masson染色用于胶原纤维和肌纤维的染色及鉴定;染色结果:胶原纤维呈蓝色、肌纤维呈红色、细胞核呈蓝黑色。
二、实验原理
1.胶原纤维是人体中的结缔组织的主要成分,分布在全身的各个部位,组成胶原纤维的主要成分是胶原蛋白。新鲜时呈白色,故一般称为白色纤维。在HE染色中被染为淡红色。它的性质是具有韧性及紧固性,因此它能够抵抗的牵拉力而不至于撕裂或拉断它们常聚集成粗细不等的束,呈波浪状。胶原纤维由许多根纤细的胶原纤维组成。在电镜下胶原原纤维又由更细的原纤维构成。根据Kramen和Little所进行的电镜研究证实,胶原纤维是特有的,具有横纹的(重复期为650)原纤维。当有病变时这些纤维可发生变形,常出现的就是胶原纤维的坏死,胶原纤维在稀酸里可发生膨胀,变成胶样物。它们能被酸性染料染成深浅不一的粉红色,这些往往跟淀粉样物难以区别。由于它们的屈光率较弱,因而在光学显微镜下,很难与纤维区别。胶原纤维的分子长度约为3000,直径约为14,分子量为300000。
2.胶原纤维的组成:
1) 细胞内合成前胶原蛋白分子,成纤维细胞摄取合成蛋白质所需的氨基酸,包括脯氨酸、赖氨酸和甘氨酸。在粗面内质网的核糖体上按照特定的胶厚mRNA的碱基序列,合成前α-多肽链。后者边合成边进入粗面内质网腔中,并在羟化酶的作用下,将肽链中的脯氨酸和赖氨酸羟化经羟化后,三条前α-多肽链互相缠绕成绳索状的前胶原蛋白分子。溶解状态的前胶原蛋白分子,两端未缠绕,呈球状构形,在粗面内质网腔风或转移到高尔基复合体内加入糖基后,分泌到细胞外。
2) 厚胶原蛋白分子的细胞外聚合。细胞外的前胶原蛋白分子,在肽内切酶的作用下,切去分子两端球状构表部分,形成厚胶原蛋白分子,粗约1.5nm,长约300nm,厚胶原蛋白分子平行排列聚合成胶原纤维。聚合时,相互平的相邻分子错开1/4分子长度,同一排的分子,菌尾相对并保持距离,聚合成束,于是形成具有64nm周期横纹的胶原原纤维。聚合时,分子内,分子间的化学基因进行缩合,交联,增加厚纤维的稳固性。若干胶原原纤维经糖蛋白粘合成粗细子等的胶原纤维。中性自溶型胶原(neutrla-soluble collagen)→醛糖、缩醛类脂/肉豆蔻酸、类脂→不溶型胶原(insoluble collagen)
3.胶原纤维的显示:
胶原纤维在HE染色法被染成粉红色,除此之外,它还可以用一些阴离子的染料来进行染色,如用淡绿可把它们染为绿色,用甲苯胺蓝可将其染为蓝色,在网状纤维染色中,如不加以处理,它又可被染为棕黄色。常用的特殊染色法有Van Gieson.Masson和Mallary等方法。在免疫细胞化学染色中,胶原纤维由于含的负电荷过多,常导致某些非特异性的染色,应特别注意。
三、实验步骤
1.Van Gieson(V.G)染色法
1)试剂的配制:
weigert氏苏木素
A液: 苏木素 1g (haematoxylin)+ 无水酒精 100ml
B液: 30%三氯化铁 4ml (ferric chloride)+蒸馏水 95ml+盐酸 1ml
Van Gieson氏液
A液: 酸性品红 1g(acid fuchsin)+蒸馏水 100ml
B液: 苦味酸饱和水溶液,(1.22%)(picric acid)
注意事项:
Weigert氏苏木素临用前取A液和B液等份混合,几个小时内用完,不得超过一天。
苏木素配后经二十多天才能成熟,提前配制。
该液能抵抗弱酸性染液,对已着染的细胞核在酸性染液的作用,不易被脱去颜色,如果不特别深染,则无须分化。
Van Gieson氏液取B液9ml,加入A液1ml,即可使用。
2)操作方法:(后面的各种方法,如没特别说明,都在室温下进行)
切片脱蜡至水
用Weigert氏苏木素染20min
水洗,时可分化
流水冲洗10min
染Van Gieson氏液1min
用95%酒精快速分化
无水酒精脱水,二甲苯透明,封固。
结果:
胶原纤维:鲜红色,肌纤维: 黄*色,红细胞: 黄*色,细胞核: 蓝黑或灰色。
注意事项:
该法染完的切片,较易褪色如需照相,应尽早完成。
苏木素染液如为棕色或沉淀,应将其抛弃。
分化用的酒精,应使用95%以上的酒精,低浓度的酒精褪色能力强,容易将着染的红色脱去。
切片也可以用天青兰苏木素替代Weigert氏苏木素,染核效果基本一样。
2.Masson氏三色染色法:
1)相关试剂的配制:
天青石蓝液的配制:
天青石蓝(Celestin blue B) 1.25g
硫酸铁铵(ferric ammonium sulfate)1.25g
蒸馏水 200ml
甘油(glycerin) 30ml
将前两者溶于蒸馏水中,然后煮沸,冷却后过滤,再加入甘油和麝香草酚。
Mayer氏苏木素的配制:
苏木素 0.1g
蒸馏水 100ml
钾明矾(Potassium alum) 5g
柠檬酸(Citric acid) 0.1g
水合氯醛(Chloral hydrate)20mg
配制法:
将苏木素放入蒸馏水中,用玻棒不停地搅拌直至溶解,再依次加入钾明矾,柠檬酸和水合氯醛,再继续搅拌,后加入碘酸钠,搅拌均匀,即可使用。
丽春红酸性品红液的配制:
丽春红(ponceau 2R) 0.7g
酸性品红(acid fuchsin)0.3g
冰醋酸 1ml
蒸馏水 99ml
2)操作方法:
A 切片脱蜡至水,
B 1%高锰酸钾氧化切片5min,
C 水洗,草酸漂白1min,
D 水洗,蒸馏水洗,天青石蓝染5min水洗,
E 摔去余液不用水洗,滴染Mayer氏苏木素3-5min,
F 流水冲洗5-10min,
G 丽春红苦味酸饱和液染5min,
H 1%醋酸水溶液洗,
I 1%磷钼酸分化切片约5min,
J 蒸馏水洗,
K 1%淡绿或者甲苯胺蓝滴染30s,
L 1%醋酸水溶液洗切片,
M 95%酒精分化,无水酒精脱水,
N 二甲苯透明,中性树胶封固。
3)结果:
胶原纤维呈现绿色或蓝色,细胞核呈现灰黑或灰蓝色,肌肉和胞质红细胞呈现红色。
4)注意事项:
① Masson氏染液配完后保存时间不宜过长,如有可能,每次染色以染配为佳,如何可使着色颜色的鲜艳性。
② 切片在各级酒精中脱水,时间不宜过长,否则会将着染的颜色脱去。
③ 切片保存所着染的颜色显长为1-2年以后会随着时间的延长而逐渐褪去,应予注意。
④ 磷钼酸和磷钨酸在染色法中的作用各有不同,磷钼酸作用于胶原纤维,磷钨酸作用于纤维胶]质,肌胶质,神经胶质和上皮纤维等。上述两种试剂的使用,可以促进组织有选择的染色,它们可以减少背景和核的染色,使背景清晰。
⑤ 如有可能,在组织固定时,用Zenker氏固定液固定,如此对染色效果将更好。
产品咨询