欢迎来到乐鱼网页版登录入口网站!



相关文章
Related Articles详细介绍
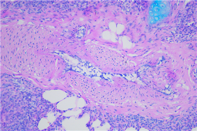
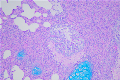
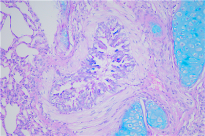
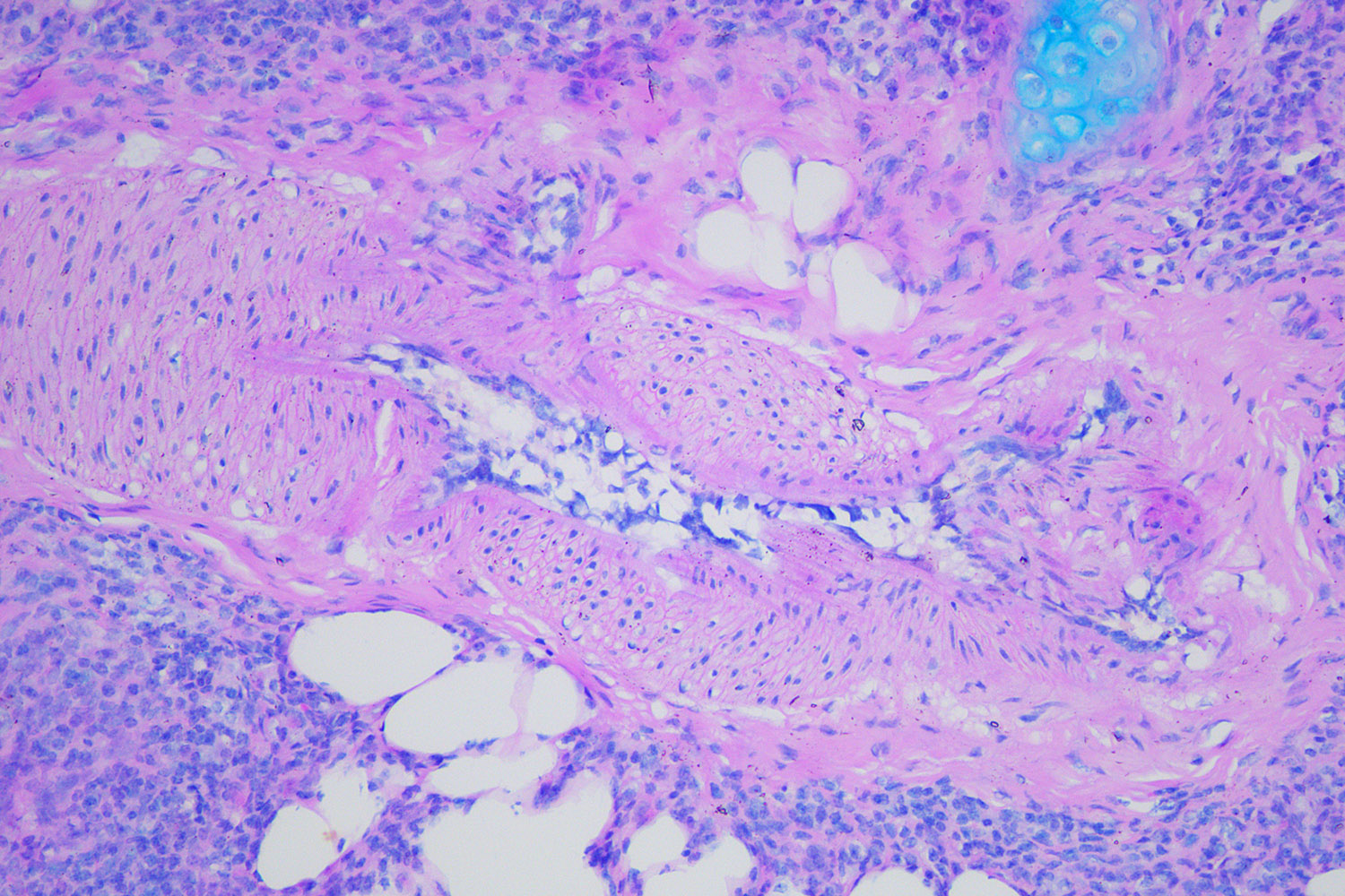
PAS染色步骤:
1脱蜡:65度30分钟,二甲苯脱蜡 5min×2次
2水化:将脱蜡后的切片经100%酒精,95%酒精,85%酒精,75%酒精,双蒸水各3min
3 入阿利新蓝染色液,染色15分钟。
4 蒸馏水洗3次,每次1-2分钟。
5 入过碘酸溶液,氧化5分钟
6入Schiff Reagent,浸染15分钟。
7 倾去Schiff Reagent,流水冲洗10分钟。
8(可选)入Leagene苏木素染色液,染核1-2分钟。
9用酸性分化液分化2-5秒,水洗。
10用Scott蓝化液反蓝,水洗3分钟。
11 逐级常规乙醇脱水。二甲苯透明,中性树胶封固。
12通过显微镜拍照,采集分析样本相关部位。
产品咨询