欢迎来到乐鱼网页版登录入口网站!



相关文章
Related Articles详细介绍
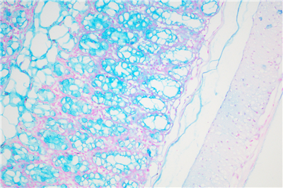
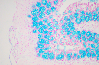
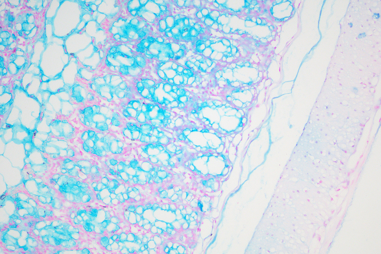
阿利新蓝(又称阿尔辛蓝﹑爱先蓝等)和PAS技术联合使用可鉴别同一组织中的中性黏蛋白和酸性粘蛋白。这种技术也常用作广泛检测黏蛋白的手段,切片先经标准阿利新蓝染色再使用PAS技术。阿利新蓝可将唾液黏蛋白﹑硫黏蛋白和蛋白多糖染成蓝色。PAS技术可将中性黏蛋白染成深红或紫红色,同时将既含中性黏蛋白又含酸性黏蛋白的组织和细胞染成深浅不同的紫色,这是由于阿利新蓝与Schiff试剂结合并发生反应。上述染色常可出现在含有中性黏蛋白和唾液黏蛋白的笑场杯状细胞中。阿利新蓝的染色原理在于是类铜钛花青染料,这种阳离子染料与酸性基团结合,也即阿利新蓝与组织内含有的阴离子基团如羧基和硫酸根形成不溶性复合物。分子中带正电荷的盐键与酸性粘多糖物质中带负电荷的酸性集团结合形成不溶性的复合物而呈蓝色,再与PAS进行复合染色,就能显示三种不同黏液物质成分。
产品咨询