欢迎来到乐鱼网页版登录入口网站!在微观的世界里,蛋白质如同生命的建筑师,承载着生命的活力和多样性。蛋白质的结构和功能对于生物学研究至关重要,而蛋白实验检测成为了揭示蛋白质奥秘的一扇窗口。通过一系列的精密实验,科学家们能够了解蛋白质的结构、功能和相互作用,从而为解决生物学谜题提供重要的线索。
蛋白质研究实验,是微观世界中的一次探索之旅。首先,科学家们需要从生物体内提取目标蛋白质。这一步骤常常需要细致入微的操作,确保蛋白质的完整性和纯度。接着,科学家们会对蛋白质进行分离和纯化,以消除其他成分的干扰。这一过程需要借助各种分离技术,如电泳、层析等,不断筛选和提纯,直至得到纯净的蛋白质样品。
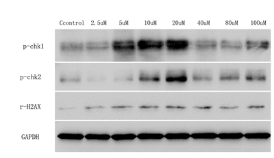
蛋白实验检测的另一个重要步骤是分析蛋白质的结构。科学家们可以借助X射线晶体学、核磁共振等先进技术,对蛋白质进行结晶和成像,从而揭示其三维结构。这一过程需要耗费大量的时间和精力,但却是理解蛋白质功能的关键。通过了解蛋白质的结构,科学家们能够揭示其功能和相互作用方式,从而为药物设计和治疗提供重要的依据。

此外,蛋白实验检测还包括了对蛋白质功能的研究。科学家们可以通过酶活性分析、蛋白质相互作用研究等实验手段,探究蛋白质在生物体内的作用机制和功能特点。这些实验需要精确的操作和敏感的检测方法,以确保实验结果的准确性和可靠性。
蛋白实验检测,是一项需要耐心和技术的工作。科学家们在探索蛋白质奥秘的过程中,常常面临着各种挑战和困难。然而,正是由于他们的坚持和努力,才有了我们对蛋白质世界的深入了解。蛋白实验检测的每一步骤都是精心设计和精确操作的结晶,它们如同一颗颗明亮的星星,点亮着生物学研究的天空。