咨询电话

15221734409

当前位置:首页   >  实验服务  >  蛋白组学实验 > 蛋白实验检测

蛋白实验检测

简要描述:

  • 更新时间:2024-10-26 00:00:00
  • 访  问  量:5287

详细介绍

服务内容有:

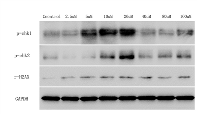
1、Western blot检测

免疫印迹(immunoblotting)又称蛋白质印迹(Western blotting),它是根据抗原抗体的特异性结合检测复杂样品中的某种蛋白的方法。该法是凝胶电泳和固相免疫测定技术基础上发展起来的一种新的免疫生化技术。由于免疫印迹常用于鉴定某种蛋白,并能对蛋白进行定性和半定量分析。

2、ChIP/ChIP-seq检测

染色质免疫沉淀技术(ChIP)通过与染色质片段共沉淀和PCR技术,在体内检测与特意蛋白质结合的DNA片段;ChIP-seq将ChIP和高通量测序技术结合,在全基因组范围内检测与特定因子或组蛋白结合的DNA位点。

3、CO-IP检测

免疫共沉淀(Co-Immunoprecipitation,CO-IP)可以测定两种目标蛋白质是否在体内结合;确定一种特定蛋白质的新的作用搭档;分离得到天然状态的相互作用蛋白复合物。

 

产品咨询

留言框

  • 产品:

  • 留言内容:

  • 您的单位:

  • 您的姓名:

  • 联系电话:

  • 常用邮箱:

  • 详细地址:

  • 验证码:

扫码关注

邮箱:https://www.80808888.com

地址:上海市宝山区长江南路180号长江软件园B650

版权所有© 乐鱼网页版登录入口-乐鱼(中国) All Rights Reserved    备案号:沪ICP备2021016661号-1     sitemap.xml    管理登陆    技术支持:化工仪器网    

沪公网安备 31011302006672号