欢迎来到乐鱼网页版登录入口网站!实验检测是一种科学研究中常用的方法,通过一系列的实验设计、数据采集和结果分析,来验证某种假设或理论是否成立,以及评估其可靠性和可重复性。在许多领域,如医学、生物学、物理学、化学和工程学等,实验检测作为一种基础和重要的研究方法,被广泛应用于新技术和新产品的开发、新发现的探索和理论的验证等方面。
实验检测的基本原理是将待检测的实验对象进行一定的处理和操作,通过控制某些变量,来观察和记录其在特定条件下的表现和行为,从而获取数据,进行统计分析,验证某种假设或理论的真实性。在实验检测中,我们通常需要采用标准化的实验设计和操作流程,来确保数据的有效性和准确性,以及结果的可靠性和可重复性。具体而言,实验检测通常需要涉及以下步骤:
1.实验设计:该步骤决定实验的目的、样本的来源和数量、实验方案和操作方法等,必须严格遵守科学方法和伦理规范。
2.实验操作:该步骤包括对实验对象的处理、样本的采集和处理、实验条件的控制等,必须遵循实验设计方案中的规定,确保实验的可实现性和有效性。
3.数据采集:该步骤包括记录实验中的各种参数和结果,包括数量、质量、时间、空间等方面的信息,必须使用专业工具和设备,确保数据的准确性和可靠性。
4.数据分析:该步骤包括对实验数据进行统计和分析,以评估实验目的和研究问题的解决情况,确认实验结果的可靠性和可重复性。
5.结果报告:该步骤包括编写实验报告和交流研究成果的方法和途径,以便其他研究者能够了解实验的目的、操作和结果,从而推广和应用实验成果。
蛋白实验检测的目的是什么、为什么要检测?
蛋白质存在于我们的生活之中,我们食用的肉类,豆类以及各种五谷杂粮,都是含有蛋白质的。蛋白实验检测的目的就是为了让我们在生活中知道自己的身体缺少蛋白,从而进行补充。食物中蛋白的含量是不一样的,所以为了更好的从食物中活得蛋白,就要对各种食物进行蛋白试验检测,这样我们就能够明确的知道一定重量的食物所含蛋白的标准。
如今社会的发展速度快,蛋白质含量常规检测是大家关注的问题。在众多的蛋白质含量常规检测方法当中,蛋白质的理化性质及反应众多,光是显色反应就达十余种,每一种或一类性质就意味着一条检测途径,因此能够用于检测蛋白质的方法多种多样。
比较常见的试验方法就是蛋白质的沉淀法
1.用重金属盐沉淀蛋白质取3支试管,各加1mL蛋白质溶液,分别各加3滴6%醋酸铅溶液、3滴2%硫酸铜溶液和3滴1%AgNO3溶液,观察蛋白质沉淀的析出。
2.用有机酸沉淀蛋白质取2支试管,各加1mL蛋白质溶液,并加5%醋酸溶液使之呈酸性(该沉淀反应z好在弱酸中进行)。然后分别滴加饱和C₆H₃N₃O₇、饱鞣酸溶液,直至沉淀产生为止。用10%三氯醋酸溶液、3%磺柳酸溶液进行类似实验(用量同前),观察现象。

蛋白实验检测服务内容有:
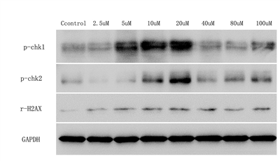
1、Western blot检测
免疫印迹(immunoblotting)又称蛋白质印迹(Western blotting),它是根据抗原抗体的特异性结合检测复杂样品中的某种蛋白的方法。该法是凝胶电泳和固相免疫测定技术基础上发展起来的一种新的免疫生化技术。由于免疫印迹常用于鉴定某种蛋白,并能对蛋白进行定性和半定量分析。
2、ChIP/ChIP-seq检测
染色质免疫沉淀技术(ChIP)通过与染色质片段共沉淀和PCR技术,在体内检测与特意蛋白质结合的DNA片段;ChIP-seq将ChIP和高通量测序技术结合,在全基因组范围内检测与特定因子或组蛋白结合的DNA位点。
3、CO-IP检测
免疫共沉淀(Co-Immunoprecipitation,CO-IP)可以测定两种目标蛋白质是否在体内结合;确定一种特定蛋白质的新的作用搭档;分离得到天然状态的相互作用蛋白复合物。
综上所述,实验检测是一种科学研究中十分重要和必需的方法,其可应用于各种领域和目的的研究和解决问题。在实验检测的应用中,必须遵守科学方法和伦理规范,以确保实验的可靠性和有效性,从而推动科学研究和应用的进步。