欢迎来到乐鱼网页版登录入口网站!



相关文章
Related Articles详细介绍
一、服务介绍
细胞迁移是指细胞在接收到迁移信号或感受到某些物质的梯度后而产生的移动。细胞迁移为细胞头部伪足的延伸、新的黏附建立、细胞体尾部收缩在时空上的交替过程。细胞迁移是正常细胞的基本功能之一,是机体正常生长发育的生理过程,也是活细胞普遍存在的一种运动形式。胚胎发育、血管生成、伤口愈合、免疫反应、炎症反应、动脉粥样硬化、癌症转移等过程中都涉及细胞迁移。检测细胞迁移能力的实验包括划痕实验和Transwell实验。
二、实验原理
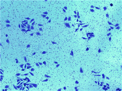
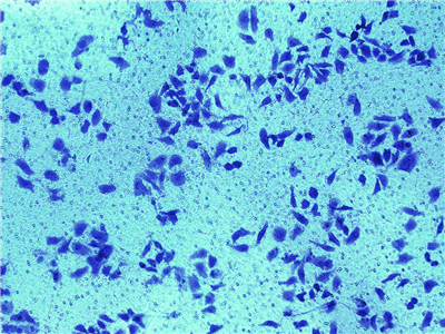
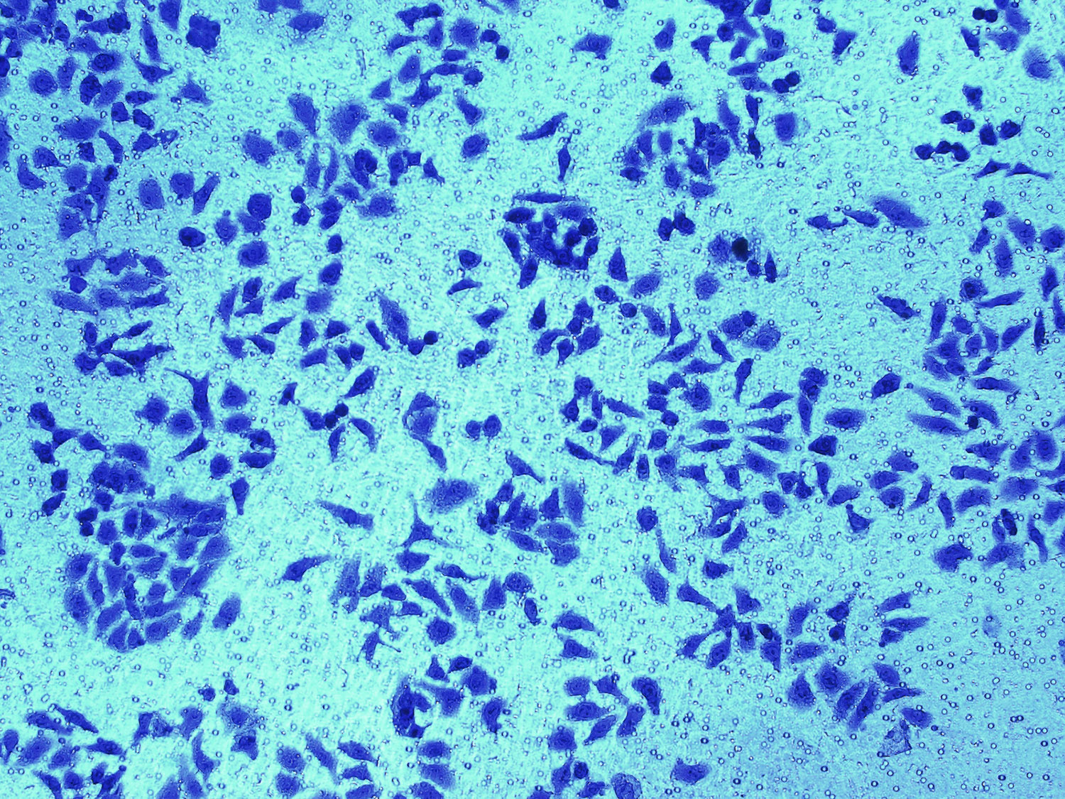
细胞划痕实验是简捷测定细胞迁移运动与修复能力的方法,在体外培养皿或平板培养的单层贴壁细胞上,用微量枪头或其它硬物在细胞生长的中央区域划线,去除中央部分的细胞,然后继续培养细胞至实验设定的时间是一种简单易行的检测细胞运动的方法,实验成本低,可以用来检测贴壁生长肿瘤细胞的侵袭转移能力。Transwell的基本原理是将transwell小室放入培养板中,小室内称为上室,培养板内称为下室,上下层培养液以聚碳酸酯膜相隔,上室内添加上层培养液,下室内添加下层培养液。将细胞种在上室内,由于膜有通透性,下层培养液中的成分可以影响到上室内的细胞,从而可以研究下层培养液中的成分对细胞生长、运动等的影响。
三、实验流程
划痕实验
1. 用marker笔在6孔板背后均匀得划横线;
2. 在孔中加入细胞;
3. 第二天用枪头垂至于背后的横线划痕;
4. 用PBS洗去处划下的细胞,培养不同时间,取样,拍照;
5. 数据处理:每个时间点细胞整体迁移距离=每个时间点距离长度-0时距离;
6. 结果统计分析。
Transwell实验
1. 采用未铺 Matrigel 胶的 Transwell 小室用于实验;
2. 制备细胞悬液;
3. 接种细胞;
4. 检测穿过的细胞数;
5. 结果统计分析。
四、客户提供
细胞株(冻存株或培养好的细胞),所需药品,药物处理方式和浓度。
五、公司提供
基本实验步骤、图片、数据分析结果、剩余药品。
实验周期:大约2-3周左右,具体需要根据细胞生长情况及实验内容而定。
产品咨询