欢迎来到乐鱼网页版登录入口网站!《Advanced Science》(简称 “Adv. Sci.”)是由Wiley-VCH GmbH出版的国际顶级综合性科学期刊。

影响因子:14.1
期刊ISSN:2198-3844
分区:中科院1 区,且为 TOP 期刊。
发文量:3646/年(2024年)
自引率:2.80%
1、 研究背景
银屑病是一种由异常免疫反应和持续性炎症驱动的复杂慢性炎症性皮肤病。巨噬细胞在其发病机制中扮演着核心角色,已有研究证明,清除巨噬细胞可减轻皮肤炎症并使Th1细胞因子水平正常化。银屑病患者表现出循环单核细胞水平升高,且这些细胞主要向促炎的M1表型倾斜。此外,M1巨噬细胞及其相关细胞因子,包括TNFα、IL-23和IL-12,在银屑病皮损中显著上调,而抗TNFα疗法已被证明能抑制受影响组织中的M1极化。
近年来,N6-甲基腺苷(m⁶A)RNA修饰被确定为巨噬细胞功能的关键调节因子。例如,m⁶A“书写酶”METTL3已被证明可通过甲基化STAT1 mRNA来增强M1极化。然而,m⁶A修饰在银屑病巨噬细胞中的功能意义在很大程度上仍未明确。另一方面,内体Toll样受体TLR7-9的异常激活被认为是银屑病的致病驱动因素,TLR7激动剂已被证明可将银屑病皮肤中的巨噬细胞向更高的M1/M2比率转变。近期研究确定了TASL是介导TLR7-9信号下游IRF5激活的关键接头蛋白,其功能类似于内质网和线粒体上的IRF3接头STING和MAVS。然而,调控银屑病中TLR7-TASL-IRF5轴的机制仍不清楚。该篇研究旨在阐明m⁶A修饰在银屑病巨噬细胞中的作用及其与TASL-IRF5信号通路的潜在联系,以揭示新的治疗靶点。
2、 研究结果
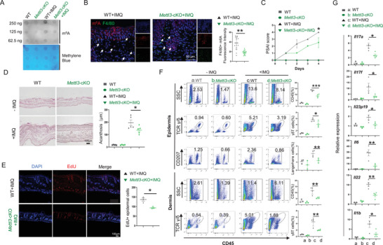
1) 条件性敲除巨噬细胞中的Mettl3可缓解小鼠银屑病样表型
研究人员通过构建巨噬细胞特异性 Mettl3 敲除小鼠,发现其骨髓来源巨噬细胞及 IMQ 诱导银屑病样皮损的 F4/80⁺巨噬细胞中 m6A修饰水平显著降低;在功能上,Mettl3 缺失使小鼠 PASI 评分显著降低,组织学显示表皮增厚、角化过度减轻,EdU 染色结果显示,表皮细胞增殖受到抑制,流式细胞术发现皮损中 CD45⁺免疫细胞、γδ T 细胞及朗格汉斯细胞浸润减少,qRT-PCR 检测到 Il17a、Il23p19 等炎症因子 mRNA 表达下调,这些数据表明巨噬细胞中的 METTL3 是驱动银屑病炎症反应的关键正调控因子。

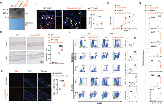
2) 条件性敲除Alkbh5基因加剧小鼠银屑病样表型
研究人员发现,Alkbh5 缺失呈现与 Mettl3 敲除完全相反的表型,Alkbh5 敲除小鼠的巨噬细胞及皮损巨噬细胞中 m6A 修饰水平显著升高,PASI 评分更高、表皮增厚等病理变化更严重,EdU 染色显示表皮细胞增殖更活跃,流式细胞术证实皮损免疫细胞浸润增加,且皮损中炎症因子 mRNA 表达显著上调,这些发现表明,Alkbh5基因缺失加剧了IMQ诱导的银屑病表型。

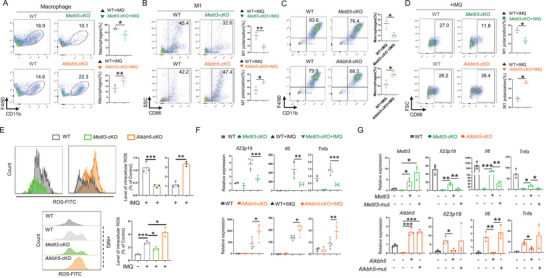
3) 巨噬细胞中的N6-甲基腺苷修饰促进M1型极化
研究人员通过体内实验发现,Mettl3 敲除小鼠皮损中浸润巨噬细胞总数减少、M1 型巨噬细胞比例显著降低,Alkbh5 敲除呈现相反趋势即总数增多、M1 巨噬细胞比例升高;体外实验发现,Mettl3 缺失抑制 IMQ 诱导的 M1 极化,Alkbh5 缺失则促进M1 极化。同时,Mettl3 敲除抑制 ROS 产生、下调 Il23p19 等促炎因子表达,Alkbh5 敲除增强 ROS 水平、上调炎症因子表达;研究结果表明,Mettl3和Alkbh5通过m6A依懒性方式导致表型改变。

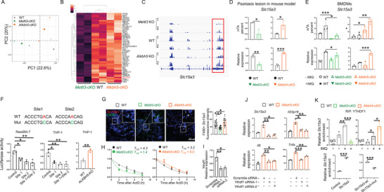
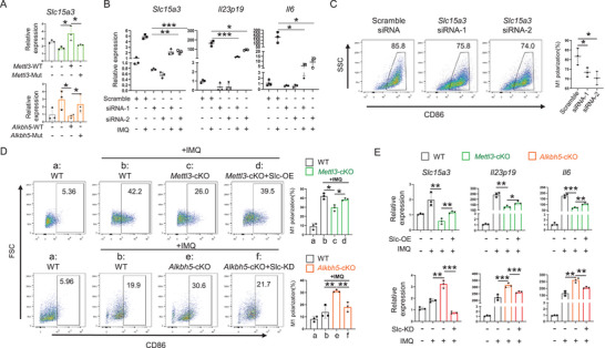
4) Slc15a3在巨噬细胞中受到m6A修饰
为探究 m6A 调控巨噬细胞功能的机制,研究人员对三组小鼠 BMDMs 进行 MeRIP-seq,发现 m6A 差异修饰基因富集于银屑病相关通路,最终锁定 Slc15a3。验证显示,Slc15a3 的 m6A 修饰位于 3'-UTR,修饰水平与 mRNA 表达正相关,且受 Mettl3/Alkbh5 调控;放线菌素 D 实验证实m6A 可增强其 mRNA 稳定性,荧光素酶实验显示修饰位点突变会破坏稳定性。进一步发现 m6A “阅读者” YTHDF1 通过结合 Slc15a3 mRNA依赖 m6A 位点调控其表达,最终证实 m6A 的 “书写 - 擦除 - 阅读” 系统通过修饰 Slc15a3 mRNA 3'-UTR 维持其稳定性。


5) SLC15A3是mettl3和alkbh5缺陷巨噬细胞中M1极化的关键介导因子
研究人员为了进一步验证 SLC15A3 在 M1 极化中的功能作用,通过回补实验确认具有催化活性的 METTL3 和 ALKBH5 可调控 Slc15a3 表达;在 Raw264.7 巨噬细胞中,用两种 siRNA 敲低 Slc15a3,能抑制 IMQ 诱导的 Il23p19、Il6 等促炎因子 mRNA 表达及 M1 标志物 CD86 蛋白表达。拯救实验显示,Mettl3 敲除 BMDMs 中过表达 Slc15a3 可恢复 M1 极化能力,Alkbh5 敲除 BMDMs 中敲低 Slc15a3 能抑制过度 M1 极化,明确 SLC15A3 是 m⁶A 修饰下游不可或缺的功能执行者。
6) SLC15A3促进TASL定位溶酶体以激活TASL-IRF5信号通路
研究人员进一步探究 SLC15A3 的作用机制,发现其与天然免疫信号通路相关。HEK293T 细胞免疫共沉淀实验证实,SLC15A3、SLC15A4 与 TASL 存在相互作用,且 SLC15A3 能增强 SLC15A4 与 TASL 的结合;Raw264.7 巨噬细胞活细胞成像显示,SLC15A3 可促进 TASL 招募到溶酶体,IMQ 刺激下该作用更显著。下游信号检测发现,Mettl3 敲除能够抑制 IRF5 磷酸化激活,Alkbh5 敲除则增强IRF5 磷酸化激活,回补或敲低 SLC15A3 可逆转 IRF5 激活状态;使用抑制剂 C5,能够抑制 Alkbh5 缺失导致的过度 M1 极化及炎症因子表达,阐明 SLC15A3 通过调控 TASL-IRF5 信号轴影响巨噬细胞功能的机制。

7) 巨噬细胞中METTL3/ALKBH5-m6A-SLC15A3通路与银屑病严重程度相关
研究人员将基础发现与临床样本结合,发现银屑病患者皮损 CD68⁺巨噬细胞中,m6A 水平、METTL3 蛋白表达升高,ALKBH5 蛋白表达降低;患者皮损及外周血单核细胞中,SLC15A3 mRNA 的 m⁶A 修饰与表达均显著升高,免疫荧光也证实其蛋白在皮损巨噬细胞中增加。关键的是,m6A 水平、SLC15A3 的 m6A 修饰及 mRNA 表达均与患者 PASI 评分正相关。此外,METTL3 抑制剂 STM2457 可抑制患者巨噬细胞 M1 极化,在小鼠模型中局部应用也能改善银屑病样症状,为靶向 m6A 通路的治疗提供临床转化依据。

3、 研究结论
该篇文章研究发现,银屑病巨噬细胞中 N6- 甲基腺苷(m6A)修饰水平升高即甲基转移酶 METTL3 上调、去甲基化酶 ALKBH5 下调;巨噬细胞特异性敲除 METTL3 可缓解小鼠银屑病样表型,敲除 ALKBH5 则加重症状。机制上,m6A 通过 “书写者” METTL3、“擦除者” ALKBH5 及 “阅读者” YTHDF1,稳定 Slc15a3 mRNA;SLC15A3 进一步促进 TASL 定位于溶酶体,激活 IRF5 信号,最终推动巨噬细胞 M1 型极化。此外,m6A 与 SLC15A3 水平均与银屑病 PASI 评分正相关,METTL3 抑制剂可缓解疾病表型,提示 m6A-SLC15A3-TASL-IRF5 轴或为银屑病治疗新靶点。